Direct Composite Veneer
| Case | Description |
|---|---|
| Patient | 33 year old female patient |
| Chief Complaint & HOPI | Discoloured upper front tooth region, h/o composite restoration wrt 11 and 21 - 15 years back, discoloured snce 2 years |
| Oral Examination | Discoloured previous direct composite resin restoration wrt 11 and 21, genaralised mild flurosis with white patches |
| Treatment Plan | Shade selection and direct composite veneering wrt 11 and 21 - bleaching white shade |
Pre-Operative

Shade Selection

Tooth Preparation

Acid Etching

Bonding Agent Application

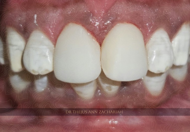
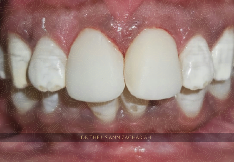
Veneer Post Polishing

Profile View

Her regained smile
