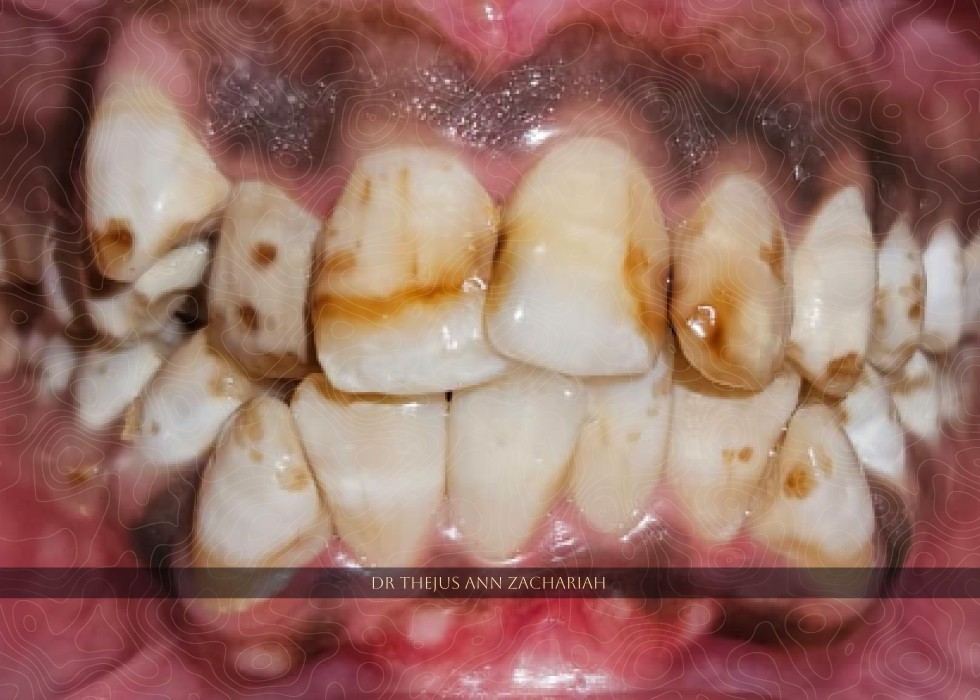
Laser Assisted Vital BleachingPre-Operative Non Peroxide Pap Gel (Novolase 24k) Diode Laser Activation Post-Operative Direct Pulp CappingLithium Disilicate Endocrown - 16