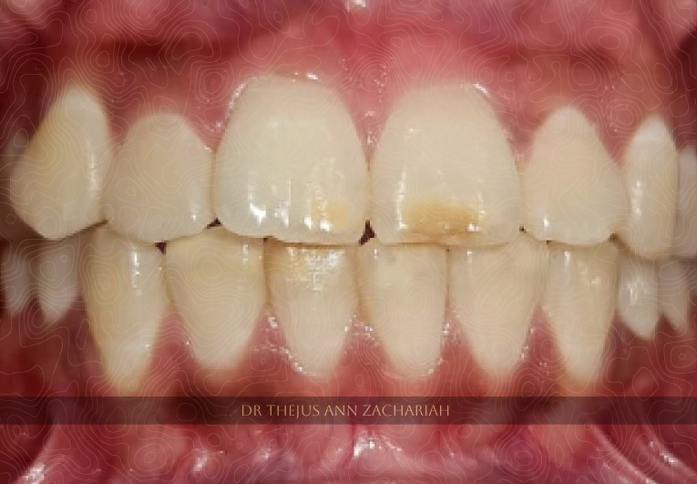
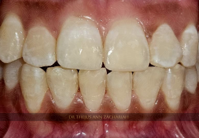
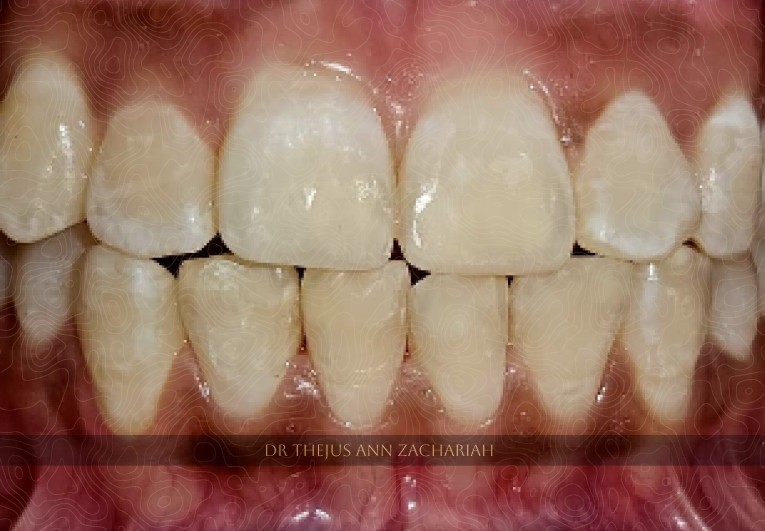
MicroabrasionPre-Operative Rubber Dam Isolation Microabrasion Slurry (Opalustre) 1 Minute Scrubbing With Prophy Cup Post-Operative Before Polishing Post-Operative After Polishing Lithium Disilicate Endocrown - 16Non Vital Intracoronal Bleaching - 11