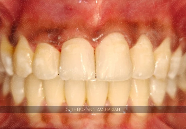
Composite Restoration
MULTIPLE CLASS III COMPOSITE RESTORATIONS- 11, 12, 21, 22
| Case | Description |
|---|---|
| Patient | 26 year old female patient |
| Chief Complaint & HOPI | Decay in upper front tooth region since 1 year |
| Oral Examination | Class III caries wrt 11, 12, 21, 22 |
| Treatment Plan | Caries excavation and evaluation for direct composite restoration wrt 11, 12, 21, 22 |
Caries Excavation

Selective Acid Etching

Bonding Agent Application

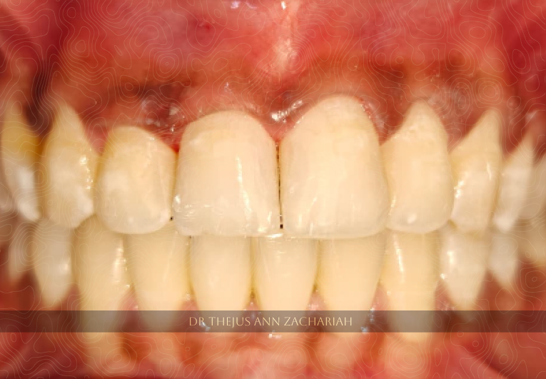
Post-Operative
